Smile Makeover in North York

Home > Dental Treatments > Smile Makeover
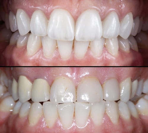
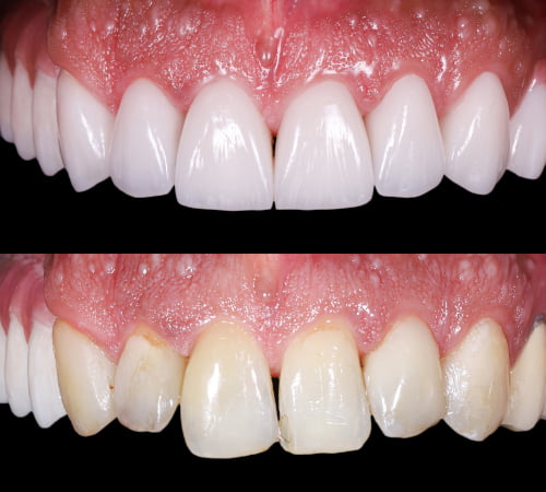
Ceramic veneers and crowns are used in a smile makeover in North York to improve tooth shape, colour, and symmetry.

Complete Smile Makeover Near You

Considering a smile makeover in North York? At Bayview Smile Centre, we build customized teeth transformation plans that combine aesthetic precision with functional stability. Whether you need smile correction for discolouration, alignment, worn teeth, or missing teeth, we create a clear, step-by-step plan tailored to your goals, timeline, and budget.

  • Personalized smile design based on facial balance and bite analysis
  • Coordinated treatment plan combining cosmetic and restorative procedures
  • Flexible financing options and virtual consultation availability

What Is a Smile Makeover?

A smile makeover in North York is not a single procedure — it is a personalized treatment plan that combines multiple dental solutions to improve the overall appearance and function of your smile. Instead of addressing one concern at a time, it considers the big picture.

Depending on your needs, a smile makeover may combine treatments such as veneers, bonding, professional whitening, clear aligners, crowns, or dental implants. The goal is to coordinate colour, shape, alignment, and bite into one cohesive plan — creating a natural-looking teeth transformation rather than isolated changes.

This comprehensive approach often delivers more balanced, predictable results than doing procedures separately. By planning everything together, we ensure your treatments work in harmony, reduce unnecessary repetition, and support both aesthetics and long-term stability.

Get your consultation virtually! Just contact us!
BOOK a VIRTUAL Consultation TODAY!
notebook

What Treatments May Be Included in Your Smile Makeover?

Every smile makeover is customized. Below are common treatments that may be combined into your plan, depending on your goals, oral health, and timeline.

Veneers for Smile Correction

Porcelain veneers are thin custom shells placed over the front of teeth to improve colour, shape, spacing, and symmetry. They are often recommended when multiple cosmetic concerns — such as staining, uneven edges, or small gaps — need to be corrected at once. Learn more about our Veneers treatment options.

Professional Teeth Whitening

Professional whitening helps brighten teeth that are stained or yellowed from coffee, wine, smoking, or natural aging. It is commonly included in a smile makeover when discolouration is the primary concern or used to enhance results before placing veneers or crowns. Explore our Teeth Whitening solutions.

Clear Aligners (Invisalign)

Clear aligners gradually straighten teeth and improve alignment without traditional braces. They are recommended when crowding, spacing, or bite imbalance affects both appearance and function. Read more about Invisalign Clear Aligners and how they fit into a smile makeover plan.

Dental Implants & Bridges

Dental implants and bridges replace missing teeth to restore both aesthetics and stability. They are included in a smile makeover when gaps affect chewing function, facial balance, or smile symmetry. Learn about your options for Dental Implants and restorative solutions.

Crowns & Bonding

Dental crowns rebuild damaged or worn teeth, while bonding corrects minor chips, cracks, or small shape irregularities. These treatments are typically used when teeth need structural reinforcement alongside cosmetic refinement. Discover more about our Dental Crowns and bonding services.

Benefits of a Smile Makeover

A professionally planned smile makeover focuses on measurable improvements in both appearance and function. By approaching smile correction as a coordinated plan rather than isolated treatments, we create a balanced, stable tooth transformation.

Cosmetic Benefits

  • Improved smile symmetry
    Coordinated treatments help align tooth shape, size, and proportions for a more harmonious appearance.
  • Brighter, more consistent colour
    Whitening, veneers, or crowns can correct uneven shades and staining to create a uniform, natural-looking smile.
  • More youthful overall appearance
    Restoring worn edges and rebuilding proper tooth length can subtly support facial balance and reduce the aged look caused by enamel wear.

Functional Benefits

  • Improved bite alignment
    When alignment is corrected, teeth can meet more evenly, supporting comfort and stability.
  • More even pressure distribution
    Balancing the bite may help reduce uneven wear or stress on specific teeth over time.
  • Long-term durability
    When cosmetic and restorative elements are planned together, materials and positioning are selected to support strength, function, and longevity when properly cared for.

Why Choose Bayview Smile Centre?

Experienced Team of Cosmetic Dentists

Our team has 35+ years of experience with cosmetic and dental implant procedures in North York and the GTA

Flexible Schedule

We know that it can be tough to make time in your b usy schedule - Eveneing and weekend appointments are available.

Payment Options

We will work with you to help you find a payment plan that works for you – don’t delay treatment due to finances

Complete Care

We offer comprehensive dental care all in one convenient location. From preventive care to dental surgery and cosmetic dentistry, we do it all under one roof.

Patient Comfort Comes First

Modern equipment, comfortable consult and treatment suites, gentle techniques and sedation options make Bayview Smile Centre a pleasant environment.

Experience the difference that Bayview Smile Centre has to offer - Book your first appointment today!
BOOK a VIRTUAL Consultation TODAY!
notebook

How the Process Works

1

Consultation

At the Smile Centre, we always offer a free, no obligation consultation. Let’s chat about your goals and see what options might fit your needs.

2

Personalized treatment plan

Together, we will design a custom plan for your smile makeover, including budget and timelines.

3

Your transformation

We will complete your treatment, one step at a time, in a comfortable and efficient manner, ensuring high quality results.

4

Your satisfaction guaranteed

Together we will ensure that you are completely satisfied with your new smile. We will set you up for long term success with a plan for homecare and maintanence visits.

CBefore-and-after results of a smile makeover in North York, showing improved alignment, colour, and overall tooth transformation.

Smile Makeover Cost in North York

The cost of a smile makeover in North York depends on the number and type of treatments included in your personalized plan. Some patients may only require one or two procedures, such as whitening and bonding, while others may choose a more comprehensive teeth transformation involving veneers, aligners, implants, or crowns.

Because every case is different, pricing varies based on complexity, materials used, and treatment timeline. During your complimentary consultation, we provide a clear treatment plan outlining recommended procedures and associated costs, so you can make an informed decision without pressure.

Bayview Smile Centre also offers flexible financing options to make treatment more accessible. Through third-party financing providers, patients can apply for convenient monthly payment plans designed to fit different budgets. Our team can guide you through the application process and explain available options.

Your free consultation includes a full smile analysis, discussion of goals, and a structured treatment plan, giving you clarity before committing to your smile makeover journey.

great smile 2

Book Your Smile Makeover Consultation in Bayview Smile Centre

Frequently Asked Questions

How long does a smile makeover take?

The timeline depends on the number and type of procedures involved. Minor cosmetic improvements may take a few weeks, while a full smile makeover that includes aligners, implants, or multiple restorations can take several months. Your treatment schedule is clearly outlined during the planning phase.

How much does a smile makeover cost in North York?

Costs vary based on the complexity of treatment and the number of procedures included. Some patients may need only whitening and bonding, while others require a more comprehensive plan involving veneers, aligners, or implants. A complimentary consultation includes a personalized treatment plan with clear pricing details.

Is a smile makeover painful?

Most procedures involved in a smile makeover are performed with local anesthesia to ensure comfort. Many treatments are minimally invasive. If you feel anxious about dental treatment, comfort-focused options may be available to help you relax during your visit.

Are smile makeover results permanent?

Results are long-lasting but not “permanent” in the sense of requiring no maintenance. The durability of veneers, crowns, whitening, or implants depends on oral hygiene, regular dental visits, and healthy habits. With proper care, many restorations last 10–15 years or longer.

What is the difference between a smile makeover and cosmetic dentistry?

Cosmetic dentistry refers to individual treatments that improve appearance, such as whitening or veneers. A smile makeover is a comprehensive plan that combines multiple cosmetic and restorative procedures into one coordinated treatment strategy.

Can I combine Invisalign and veneers?

Yes. In many cases, teeth are first aligned with Invisalign to create proper positioning. Veneers may then be used to refine shape, symmetry, or colour. Sequencing is carefully planned to achieve balanced, natural-looking results.

Do you offer financing for smile makeovers?

Yes. Flexible financing options are available through third-party providers, allowing patients to divide treatment costs into manageable monthly payments. Our team can explain available plans during your consultation.

Is a smile makeover covered by insurance?

Purely cosmetic procedures are typically not covered by insurance. However, if part of the treatment restores function — such as crowns placed to protect damaged teeth — partial coverage may apply. We review your benefits to clarify eligibility.

Am I a candidate for a smile makeover?

Most adults with healthy gums and stable oral health are candidates. A consultation allows us to assess your teeth, bite, and goals to determine the most appropriate approach.

Do you offer virtual consultations for smile makeovers?

Yes. We offer a virtual consultation option so you can discuss your goals and explore possibilities before visiting our North York clinic in person.

Our Work

Smile Makeover before and after


(647) 931-2477

2885 Bayview Ave Unit 4,
North York, ON
M2K 0A3